嗜铬细胞瘤及副神经节瘤是一类内分泌系统的少见病,嗜铬细胞瘤是起源于肾上腺髓质,副神经节瘤是起源于肾上腺外的交感神经链并具有激素分泌功能的神经内分泌肿瘤,主要合成、分泌和释放大量儿茶酚胺,引起患者血压升高和代谢性改变等一系列临床症候群,并造成心、脑、肾、血管等严重并发症甚至成为患者死亡的主要原因。

无线腹腔镜是5G+4K无线智能腹腔镜系统,重庆大学附属涪陵医院泌尿外科是重庆市率先采用无线腹腔镜技术的科室。解除了传统腹腔镜手术中多条线缆的牵绊和束缚,将高清图像实时无损传输到4K显示器,具有无线传输、自带光源、微型化、智能化、免消毒、连接方便、缩短准备时间等优势。
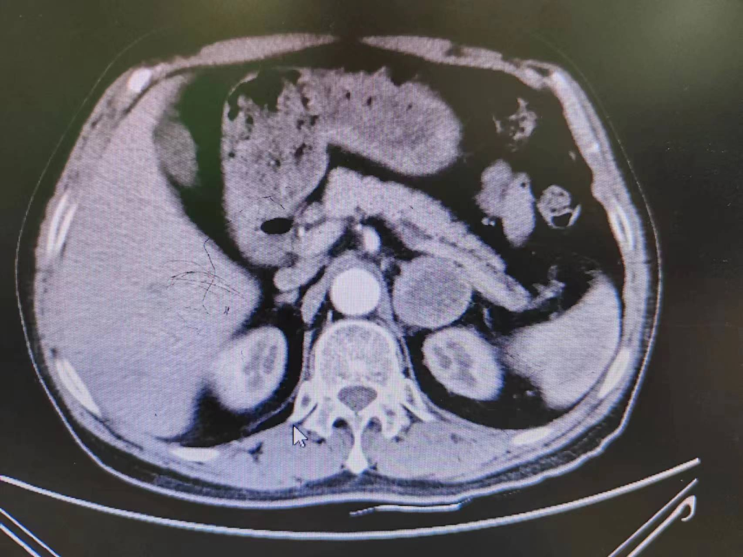
患者熊XX,67岁,因发现头晕、头痛曾多次于外院就诊,到新桥医院就诊完善肾上腺CT考虑嗜铬细胞瘤,既往有高血压病史3年,血压更高达230/120mmHg。我院高新区院区开诊后,患者慕名而来。术前积极完善血尿儿茶酚胺代谢产物(MNS)均明显升高,患者于我院高新区院区及江南院区泌尿外科积极控制血压、心率、血糖,术前充分扩容。
因肿瘤位置位于肾蒂周围,术中触碰肿瘤导致血压明显升高,血压波动较大,肿瘤表面血供丰富,不仅需要手术医生丰富的临床经验和高超的技术水平,也是对医生心理素质、勇气和毅力的严峻考验。
经过泌尿外科医师全体讨论,在进行术前准备2-3周后,再次请多学科讨论评估手术风险,并与患者及家属充分沟通后于6月30日行腹腔镜下左侧肾上腺嗜铬细胞瘤切除术。手术在陈勇主任医师的指导下,由孙伟副主任医师主刀及王传麟医师完成,术中见肿瘤与肾蒂血管周围粘连紧密,与肾动脉、肾静脉分界不清,稍有不慎,可能损伤肾蒂血管可能需要行肾切除术,且分离肿瘤过程中血压波动较大。但在孙伟精准操作及分离下,与麻醉医生和手术护士团队密切配合,经过2小时的手术,顺利切除嗜铬细胞瘤,并保护好肾脏血管及周围组织。术后患者顺利出院,术后血压及血糖控制良好。


本次手术的开展,标志泌尿外科微创手术方面的技术又上新台阶,标志着我院科室间更加紧密的协作,泌尿外科将继续潜心钻研,精进技术,引领渝东南泌尿外科的发展,为更多患者提供更优质的诊疗服务。
文章来源:重庆大学附属涪陵医院订阅号